
Λαχάνιασμα, δύσπνοια, επίμονος ξηρός βήχας; Τα συμπτώματα αυτά είναι αρκετά για να μας κάνουν να τρέξουμε στον πνευμονολόγο, καθώς μπορεί να κρύβεται πίσω από αυτά η ιδιοπαθής πνευμονική ίνωση.
Πρόκειται για μια νόσο που εντάσσεται στις περίπου 500 διάμεσες πνευμονοπάθειες και υπολογίζεται ότι πάσχουν από αυτήν περίπου 80.000-110.000 άνθρωποι στην Ευρώπη και άλλοι 100.000 στις ΗΠΑ.
Για την αντιμετώπισή της, βρίσκονται σε εξέλιξη σειρά κλινικών μελετών, ενώ νεότερες θεραπείες αλλάζουν την πορεία της νόσου, βελτιώνοντας την ποιότητα ζωής των ασθενών.
Για την ιδιοπαθή πνευμονική ίνωση (ΙΠΙ) ξεκινά εκστρατεία ενημέρωσης η Ελληνική Πνευμονολογική Εταιρεία με μήνυμα «Η ζωή με την άγνωστη – γνωστή νόσο», με αφορμή τον Σεπτέμβριο, μήνα ενημέρωσης και ευαισθητοποίησης για την ασθένεια. Η εκστρατεία περιλαμβάνει μικρής διάρκειας βίντεο που θα προβληθούν στα social media της ΕΠΕ, με στόχο την ενημέρωση του ευρύτερου κοινού, της Πολιτείας, αλλά και της ιατρικής κοινότητας για την «άγνωστη – γνωστή» αυτή νόσο.
Σε σχετική συνέντευξη Τύπου για τη νόσο, τη σημασία της έγκαιρης διάγνωσης και τις νέες θεραπευτικές προσεγγίσεις η αναπληρώτρια Υπουργός Υγείας Μίνα Γκάγκα απηύθυνε χαιρετισμό, λέγοντας πως για τη διάγνωση, αντιμετώπιση και διαχείριση της νόσου απαιτείται η συνεργασία πολλών διαφορετικών επαγγελματιών υγείας.
Διαβάστε επίσης: Ενημερωτική πλατφόρμα για την Ιδιοπαθή Πνευμονική Ίνωση
Από την πλευρά της Πνευμονολογικής Εταιρείας, ο πρόεδρος, καθ. Στέλιος Λουκίδης, τόνισε πως «η ΕΠΕ ευαισθητοποιείται για το άγνωστο – γνωστό νόσημα την Πνευμονική Ίνωση. Ένα ιδιαίτερο νόσημα που απαιτεί συνεργασία ειδικοτήτων, που έφερε σημαντικούς προβληματισμούς στη διάρκεια της πανδημίας ως αποτέλεσμα επιπλοκών και Long COVID. Αλλά και ένα νόσημα για το οποίο η Ιατρική επιστήμη πρέπει να κάνει την αυτοκριτική της για τα προηγούμενα χρόνια, όπου οι θεραπευτικές επιλογές δεν ήταν στον σωστό δρόμο».
Η νόσος
O Αν. Καθηγητής Πνευμονολογίας στο Πανεπιστήμιο Πατρών και Διευθυντής της Πνευμονολογικής Κλινικής του Πανεπιστημιακού νοσοκομείου Πατρών Αργύρης Τζουβελέκης εξήγησε πως «η Ιδιοπαθής Πνευμονική Ίνωση είναι μια χρόνια αναπνευστική νόσος, αγνώστου αιτιολογίας, που χαρακτηρίζεται από ουλές και φλεγμονή του πνεύμονα, όπως ακριβώς συμβαίνει με τις ουλές στο δέρμα όταν τραυματιστούμε. Το αποτέλεσμα αυτών των ουλών είναι ο πνεύμονας να γίνεται σκληρός και ανελαστικός με συνέπεια να μην μπορεί να επιτελέσει τη λειτουργία του, που είναι η οξυγόνωση των ιστών».
Τα κύρια συμπτώματα της νόσου, σύμφωνα με τον κ. Τζουβελέκη, είναι ο χρόνιος βήχας και η δύσπνοια στην κόπωση. Η νόσος προσβάλλει συχνότερα άνδρες, ηλικίας άνω των 50 ετών και συνήθως καπνιστές. Σπανιότερα, όμως, μπορεί να εμφανιστεί και σε νεαρότερη ηλικία εάν υπάρχει οικογενειακό ιστορικό. Διευκρίνισε ότι «εκτός από την Ιδιοπαθή Πνευμονική Ίνωση, υπάρχουν και άλλες μορφές πνευμονικής ίνωσης που προκαλούνται από ιούς (όπως ο κορωνοϊός), από φάρμακα, από αυτοάνοσα νοσήματα (όπως το σκληρόδερμα και η ρευματοειδής αρθρίτιδα), καθώς και μορφές πνευμονικής ίνωσης που προκαλούνται από έκθεση στον αμίαντο και στο τρίχωμα πουλιών, όπως οι παπαγάλοι και τα περιστέρια». Επεσήμανε ότι η Ιδιοπαθής Πνευμονική Ίνωση δεν είναι το ίδιο νόσημα με την κυστική ίνωση, δεν είναι μεταδοτική και δεν είναι καρκίνος πνεύμονα.
Η διάγνωση
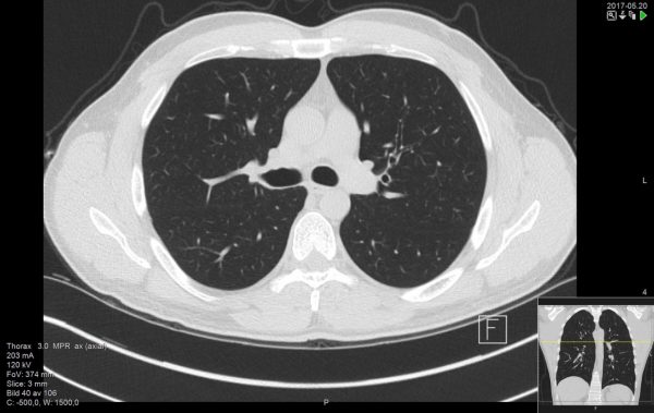
Αναφερόμενη στη διάγνωση της νόσου, η κ. Κατερίνα Μαρκοπούλου, Πνευμονολόγος, Διευθύντρια ΕΣΥ, υπεύθυνη του Εξωτερικού Ιατρείου Διαμέσων Πνευμονοπαθειών και Σαρκοείδωσης στο νοσοκομείο «Γ. Παπανικολάου» επεσήμανε πως αν τεθεί η υποψία για Ιδιοπαθή Πνευμονική Ίνωση από κάποια χαρακτηριστικά ακροαστικά (ήχοι velcro) ή ευρήματα στην ακτινογραφία θώρακα, η επιβεβαίωση έρχεται με την αξονική τομογραφία θώρακα υψηλής ευκρίνειας, η οποία προσφέρει πολλές πληροφορίες σχετικά με το είδος, τα χαρακτηριστικά και την έκταση της νόσου.
Διαβάστε επίσης: Αποκλεισμός ασθενών με Ιδιοπαθή Πνευμονική Ίνωση από θεραπείες
Αν τα ακτινολογικά ευρήματα είναι τυπικά, η πάθηση μπορεί να χαρακτηριστεί με βεβαιότητα.
Διαφορετικά χρειάζεται ιστολογικός έλεγχος με κάποια βιοψία πνεύμονα ή εξέταση των κυττάρων που βρίσκονται στις κυψελίδες. Τα κύτταρα αυτά μπορούν να εξετασθούν με βρογχοσκόπηση, αντλώντας κύτταρα από το περιεχόμενο των κυψελίδων, με διαβρογχική βιοψία ή κρυοβιοψία πνεύμονα, ή σπανιότερα με χειρουργική λήψη βιοψίας πνεύμονα.
Η μαγνητική τομογραφία δεν έχει θέση στη διερεύνηση αυτής της πάθησης. 
Για την καταγραφή της αναπνευστικής λειτουργίας, όπως εξήγησε η κ. Μαρκοπούλου, ο ασθενής υποβάλλεται σε σπιρομέτρηση, με μέτρηση πνευμονικών όγκων και διαχυτικής ικανότητας. «Για την εκτίμηση της λειτουργικής επιβάρυνσης χρησιμοποιείται μια σύντομη δοκιμασία βάδισης ή εργοσπιρομετρία. Για να αποκλειστεί μια συστηματική πάθηση (συστηματική σκλήρυνση, ρευματοειδής αρθρίτιδα) που προσβάλλει και τους πνεύμονες με παρόμοιο τρόπο (δευτεροπαθής πνευμονική ίνωση) εκτελούνται εξετάσεις αίματος».
Μεγάλη θνησιμότητα
Η Καθηγήτρια Πνευμονολογίας της Ιατρικής Σχολής Κρήτης και Yπεύθυνη της Μονάδας Διαμέσων Νοσημάτων του ΠΑΓΝΗ κ. Κατερίνα Αντωνίου, η οποία είναι ταυτόχρονα επικεφαλής της Συνόδου της Ευρωπαϊκής Πνευμονολογικής Εταιρείας, αναφέρθηκε στην τεράστια σημασία της έγκαιρης διάγνωσης και της θεραπευτικής αντιμετώπισης της ΙΠΙ, λόγω της υψηλής θνητότητας που παρουσιάζει η νόσος.
«Η Ιδιοπαθής Πνευμονική Ίνωση είναι μία χρόνια ινωτική πνευμονοπάθεια που προοδευτικά εξελίσσεται με δυσμενή κατάληξη, δυστυχώς, για τους ασθενείς μας. Η μόνη μέχρι πρότινος θεραπευτική προσέγγιση που αύξανε την επιβίωση ήταν η μεταμόσχευση πνεύμονα. Τα τελευταία χρόνια, όμως, έχει επιτευχθεί μεγάλη πρόοδος σχετικά με την κατανόηση των παθογενετικών μηχανισμών της νόσου, που οδήγησε στην ανακάλυψη νέων φαρμάκων. Οι πρώτες από του στόματος θεραπείες που έχουν εγκριθεί, η πιρφενιδόνη και η νιντεντανίμπη, φαίνεται να αλλάζουν τη φυσική πορεία της νόσου, επιβραδύνοντας τον ρυθμό έκπτωσης της αναπνευστικής λειτουργίας. Δυστυχώς, όμως, δεν είναι πανάκεια και υπάρχουν ασθενείς που δεν ανέχονται καλά τα φάρμακα αυτά».
Διαβάστε επίσης: Εμπόδια βάζει ο ΕΟΠΥΥ στην πρόσβαση σε φάρμακα λόγω κόστους
Η έρευνα συνεχίζεται και αυτή τη στιγμή νέες φαρμακευτικές ουσίες είναι υπό μελέτη, εξήγησε η κ. Αντωνίου, σημειώνοντας πως «είναι επιτακτική η ανάγκη της συμμετοχής των ασθενών σε κλινικές δοκιμές που γίνονται στα ειδικά κέντρα αναφοράς για τη νόσο. Η υποστήριξη των ασθενών με οξυγονοθεραπεία και η σύσταση για διακοπή καπνίσματος και εμβολιασμό σύμφωνα με τις οδηγίες για τους ασθενείς με χρόνια νοσήματα του αναπνευστικού, είναι καίριας σημασίας».
Η κ. Αντωνίου, τονίζοντας την προτροπή που επισημαίνει και ο Παγκόσμιος Οργανισμός Υγείας, αναφέρει ότι «οι ασθενείς με ΙΠΙ χρειάζονται ολιστική προσέγγιση στην παροχή ιατρικής και θεραπευτικής φροντίδας, με διεπιστημονική διασύνδεση και συνεργασία μεταξύ επαγγελματιών υγείας, ψυχοσυμπεριφορική υποστήριξη και ένα περιβάλλον φροντίδας με ενσυναίσθηση που κατανοεί τις καταστάσεις που βιώνουν και τους ενθαρρύνει να συνεχίσουν την προσπάθεια. Η φροντίδα των ασθενών με Πνευμονική Ίνωση απαιτεί ανθρωποκεντρικό πρόσημο, τεκμηριωμένες πρακτικές και ολοκληρωμένες υπηρεσίες υγείας». 
Διάγνωση και ελπίδα
Από την πλευρά των ασθενών με ΙΠΙ, ο Πρόεδρος του Συλλόγου Ασθενών με ΙΠΙ «Πνεύμονες Ζωής» Σπυρίδων Παναγιωτόπουλος, μέσω βιντεοσκοπημένου μηνύματος χαρακτήρισε την πνευμονική ίνωση μια σπάνια, αόρατη ασθένεια, μια νόσος ύπουλη και απρόοπτη, που κρύβεται ανάμεσα σε τόσες άλλες ασθένειες των πνευμόνων, περιμένοντας την κατάλληλη στιγμή να σου επιτεθεί».
Όμως έστειλε μάλιστα μήνυμα εγρήγορσης και αισιοδοξίας λέγοντας: «Νιώθεις ότι έχει αλλάξει η αναπνοή σου; Νιώθεις λαχάνιασμα, δύσπνοια, σε ταλαιπωρεί ένας επίμονος ξηρός βήχας; Μην καθυστερείς, πήγαινε στον οικογενειακό γιατρό σου και μίλησέ του για τα συμπτώματα που αισθάνεσαι. Εκείνος θα κρίνει αν χρειάζεται να επισκεφθείς έναν πνευμονολόγο. Ο πνευμονολόγος ως εξειδικευμένος γιατρός μετά από μια σειρά εξετάσεων, θα αξιολογήσει την κατάστασή σου, θα προχωρήσει σε διάγνωση και στη συνέχεια θα σου συστήσει την απαιτούμενη θεραπευτική αγωγή για την αντιμετώπιση και διαχείριση της νόσου.
Διαγνώσθηκες με πνευμονική ίνωση; Μην απογοητεύεσαι, ό,τι κι αν πληροφορηθείς! Συνεργάσου με τον πνευμονολόγο σου! Βούτηξε στη γνώση, μάθε όσα μπορείς περισσότερα για την πνευμονική ίνωση. Οργανώσου, γίνε μέλος του Ελληνικού Συλλόγου Πνευμονικής Ίνωσης και γνώρισε κι άλλους ασθενείς με εμπειρία σε αυτή. Να θυμάσαι, η γνώση σώζει ζωές, η άγνοια σκοτώνει…».






